presentation =
Actualité
Mercredi 29 mars 2023

Développement d'un Vaccin efficace contre l'asthme allergique

Carnot-Pasteur.png

Pour lutter contre l’asthme allergique, qui touche des millions de personnes à travers le monde, des scientifiques du Carnot Pasteur MS et de l’entreprise française NEOVACS, développent et testent un nouveau vaccin.

Leur dernière étude

Les équipes ont montré que ce vaccin était efficace pour produire des anticorps capables de neutraliser des protéines immunitaires humaines clés dans le déclenchement de l’asthme allergique. Les résultats ouvrent la voie à l’organisation d’un essai clinique.

L'asthme et l'asthme allergique

L’asthme est une maladie chronique qui touche environ 4 millions de personnes en France et 340 millions dans le monde. L’asthme allergique, qui représente environ 50 % des cas d’asthme, se caractérise par une inflammation des bronches et une gêne respiratoire provoquée par l’inhalation d’allergènes, le plus souvent des acariens.

Cette exposition aux acariens et autres allergènes déclenche une surproduction d’anticorps appelés immunoglobulines et de protéines appelées « cytokines de type 2 » dans les voies aériennes. Ce phénomène entraine une cascade de réactions aboutissant à une hyperréactivité des voies respiratoires, une surproduction de mucus et une éosinophilie (un taux trop élevé de globules blancs appelés éosinophiles dans les voies aériennes).

Médicaments

A l’heure actuelle, les corticoïdes inhalés sont les médicaments de référence pour contrôler l’asthme. Cependant, dans le cas d’asthme allergique sévère, ce traitement ne suffit pas toujours. Il faut alors avoir recours à des traitements par anticorps monoclonaux thérapeutiques. Or ces médicaments sont très onéreux et contraignent les patients à effectuer des injections pendant des années, voire tout au long de leur vie.

Depuis plusieurs années, le Carnot Pasteur MS et l'entreprise NEOVACS, travaillent au développement d’un vaccin afin d’ouvrir de nouvelles perspectives thérapeutiques pour les patients atteints d’asthme allergique sévère.

Un vaccin efficace contre les cytokines humaines

Dans une précédente étude, ils avaient montré l’efficacité chez la souris d’un vaccin conjugué2, appelé Kinoïde®. Les résultats suggéraient que ce vaccin induisait une production durable d’anticorps, ainsi qu’une réduction des symptômes de l’asthme allergique chez les animaux.

Suite à ces premières données encourageantes et afin d’envisager la mise en place d’essais cliniques chez l’humain, il était nécessaire de développer un vaccin capable de neutraliser également les cytokines humaines. Afin de pouvoir tester l’efficacité de ce nouveau vaccin, les scientifiques ont eu recours cette fois à un modèle d’asthme allergique aux acariens chez des souris « humanisées », dont les gènes ont été remplacés par les gènes humains respectifs.

Là encore, les résultats sont prometteurs : la vaccination a induit une réponse anticorps importante, capable de neutraliser les cytokines humaines, sans diminution de l’efficacité du vaccin, jusqu’à plus de trois mois après l’injection (temps correspondant à la durée totale de cette étude).

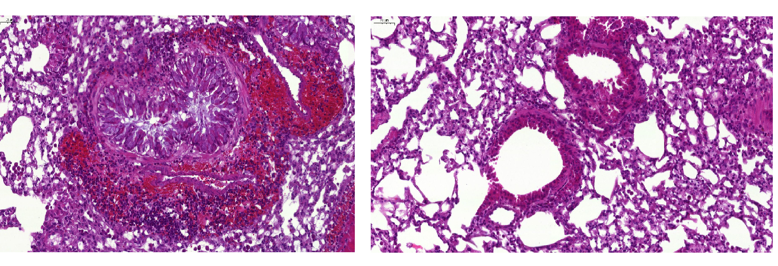
Un effet important sur les symptômes de l’asthme a également été observé : chez les animaux étudiés, la vaccination a été associée à une diminution des taux d’IgE et de l’éosinophilie ainsi qu’à une réduction de production de mucus et de l’hyperréactivité des voies respiratoires.

« Une vaccination contre l’asthme allergique représente un espoir de traitement à long terme de cette maladie chronique, et au-delà, une perspective de réduction des symptômes d’allergie liés à d’autres facteurs, puisque ce vaccin cible des molécules impliquées dans différentes allergies », souligne Pierre Bruhns, responsable de l’unité Anticorps en thérapie et pathologie du Carnot Pasteur MS.

Imprimer / PDF
Envoyer un email